logo

هیستولب

تماس با ما تهران - شمال غرب میدان هفتم تیر - خیابان غفاری - پلاک 40 021-88313255 info@histolab.ir
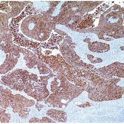
آنتی بادی(CD45(LCA برند NOVOCELL

بهینه شده برای روش‌های مختلف آزمایشگاهی از جمله فلوسایتومتری، ایمونوهیستوشیمی و وسترن بلات، قابلیت اتصال اختصاصی به پروتئین CD45

(0 نظرات)
برای اطلاع از قیمت با پشتیبانی تماس بگیرید

آنتی بادی(CD45(LCA برند NOVOCELL یک آنتی‌بادی مونوکلونال با قابلیت اتصال اختصاصی به پروتئین CD45 است که به عنوان یک نشانگر جهانی سلول‌ های خونساز شناخته می‌ شود. این آنتی‌ بادی برای استفاده در روش‌های مختلف آزمایشگاهی از جمله فلوسایتومتری، ایمونوهیستوشیمی و وسترن بلات بهینه‌ سازی شده است. فرمولاسیون پایدار این محصول امکان نگهداری در دمای ۲ تا ۸ درجه سانتی‌گراد را فراهم می‌ کند و باید از یخ‌ زدگی و نور مستقیم خورشید محافظت شود. آنتی بادی(CD45(LCA با ایجاد سیگنال واضح و قابل اطمینان، شناسایی دقیق جمعیت‌ های لنفوئید و میلوئید را در نمونه‌ های مختلف امکان پذیر کرده است.

 

کاربردهای آنتی بادی(CD45(LCA برند NOVOCELL

این آنتی‌ بادی به عنوان یک ابزار ضروری در پاتولوژی تشخیصی برای تمایز نئوپلاسم‌ های هماتولوژیک از تومورهای غیرهماتولوژیک کاربرد دارد. در تشخیص لوسمی‌ ها، لنفوم‌ ها و میلوم، از CD45 به عنوان یک نشانگر غربالگری اولیه برای تأیید منشأ هماتولوژیک تومور استفاده می‌ شود. در فلوسایتومتری، این آنتی‌ بادی امکان تعیین درصد سلول‌ های خونساز و شناسایی جمعیت‌ های غیرطبیعی را فراهم کرده و در تحقیقات ایمونولوژی، برای مطالعه مکانیسم‌ های فعالسازی سلول‌ های T و تمایز سلول‌ های B نقش مهمی ایفا می کند.

 
 

 خرید آنتی بادی(CD45(LCA برند NOVOCELL از هیستولب

هیستولب با ارائه پشتیبانی فنی تخصصی توسط کارشناسان مجرب، همراهی قابل اعتماد در تمام مراحل خرید و استفاده از آنتی‌ بادی CD45 نووسل است. سیستم توزیع هوشمند این مجموعه، ارسال به موقع تمامی آنتی بادی ها را در سراسر کشور تضمین نموده و با رعایت کامل زنجیره سرد، کیفیت و عملکرد آنها را حفظ می کند. محصولات هیستولب با بسته‌ بندی خاص و استریل ارسال می‌ شوند که امکان استفاده مستقیم و بدون نیاز به سمپلر را فراهم می سازد و از آلودگی نمونه جلوگیری می‌ کند. گارانتی محصول و تست و بررسی‌ های دوره‌ ای منظم، عملکرد ایده‌ آل آنتی‌بادی‌های تولید شده با کلون‌ های اختصاصی را تضمین می‌ کند. 

 

برای دریافت مشاوره رایگان تخصصی قبل از خرید انواع آنتی‌بادی نووسل با ما تماس بگیرید.

 
Novocell CD45 antibody provides universal leukocyte marker detection with exceptional specificity for hematopoietic cell identification.
This monoclonal antibody is essential for differential diagnosis of hematolymphoid malignancies and reliable immunophenotyping in flow cytometry.
 

تعداد نظرات : 0

ثبت نظر

اطلاعات شخصی شما منتشر نمیشود*

چه امتیازی میدهید؟

لطفا برای ثبت نظر وارد سامانه شوید

ثبت نام/ ورود
محصولات مکمل